シュアスマイル
シュアスマイルとは
シュアスマイルは、1998年に設立されたアメリカのOraMetrix社が開発した、3Dデジタル技術を用いカスタマイズされた歯科矯正ワイヤー(針金)治療システムです。
この治療システムは3Dイメージング、治療計画ソフトウェア、およびロボットを利用してワイヤーを作成します。
シュアスマイルは矯正治療を完了するのに必要な時間を平均で約7ヵ月短縮し、0.1mm単位の精度での矯正治療を可能にしました。
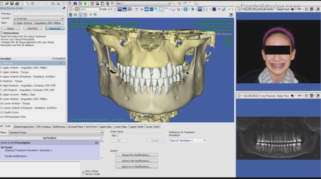
シュアスマイルの特徴
あらかじめ治療結果のイメージ画像を確認できる
治療を開始する前に、顔、顎、歯のCTスキャンを行います。これにより、歯茎の上の歯冠だけでなく、歯の根元や顎の骨の画像をデジタル化し、治療計画の3Dモデルを作成・確認することが出来ます。
歯根の位置も考えられた矯正治療が可能
矯正治療は歯茎の内側のあごの骨の範囲で歯根を動かす治療です。歯骨を動かす=歯根をあごの骨の中で動かすことであり、歯根とあごの骨の情報がなければ本当の意味での安全な治療を行うことはできません。歯並びだけではなく、歯根の位置も考えられた治療を行うことで、安全で確実で無駄な動きの少ない矯正治療が可能となります。
治療前のイメージ
治療後のイメージ
ロボットによる、より高精度なワイヤーの作製
ワイヤーは従来の手作業ではなく、ロボットによって作製されます。これにより、施術者の技量を問わず高精度で患者の歯と矯正医の処方との誤差が非常に少ない矯正が可能となります。
また、ワイヤーはニッケルチタン製の形状記憶合金です。金属が元の形状を記憶し、熱=患者の体温で元の形状に戻ろうとする力を利用して歯を直接所定の位置に動かします。これらのことにより矯正治療にかかる期間を大幅に短縮します。
事前に曲げられたワイヤー
ロボットがワイヤーを曲げる
見えない矯正にも対応
シュアスマイルは、歯の裏側に矯正装置を装着するリンガルブラケット矯正装置でも治療を行うことができます。
患者様のご希望に合わせて、シュアスマイルをご提供いたします。
マルチブラケット
リンガルブラケット
